देहरादून: मुख्यमंत्री पुष्कर सिंह धामी से बुधवार को विधानसभा देहरादून में चीफ ऑफ डिफेंस स्टाफ […]
Author: India Today Team
बजुर्ग फरियादियों को गंतव्य स्थल तक पंहुचा रहा है जिला प्रशासन का ‘सारथी’
देहरादून: जिलाधिकारी सविन बसंल ने अपनी शिकायतों केे निस्तारण हेतु जिला कार्यालय में आने वाले […]
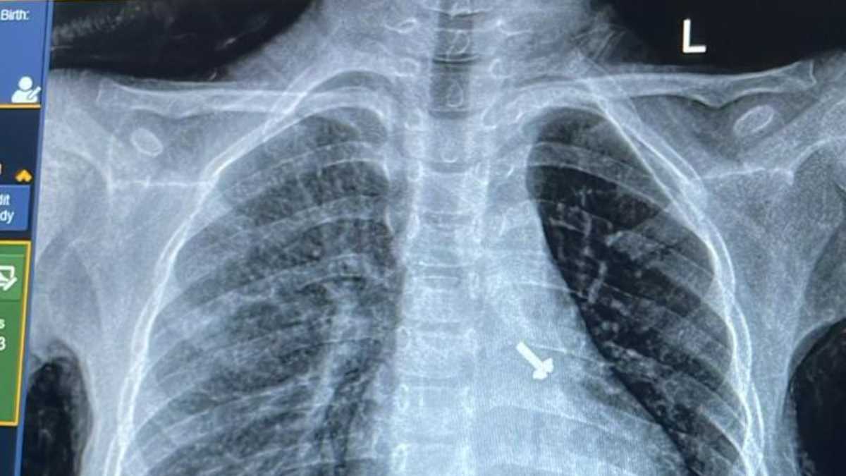
07 वर्ष के बच्चे के फेफड़े में फंसे पेंच को निकालकर एम्स के चिकित्सकों ने दिया जीवनदान
ऋषिकेश: अखिल भारतीय आयुर्विज्ञान संस्थान, ऋषिकेश के पल्मोनरी मेडिसिन विभाग की ओर से संचालित ब्रोंकोस्कोपी […]
मुख्य सचिव की अध्यक्षता में स्टेट काॅओपरेटिव डेवलपमेंट कमेटी की बैठक…
देहरादून: सीएस श्रीमती राधा रतूड़ी ने राज्य के स्थानीय अनाज मंडुआ की भांति झंगौरा के […]
पीएनबी ने इंडो तिब्बत बॉर्डर पुलिस के साथ एमओयू पर किए हस्ताक्षर…
देहरादून: देश के अग्रणी सार्वजनिक क्षेत्र के बैंक, पंजाब नैशनल बैंक (पीएनबी) ने आईटीबीपी के […]
मुख्यमंत्री धामी ने विधानसभा अध्यक्ष की उपस्थिति में ई-विधान एप्लीकेशन का लोकापर्ण किया…
देहरादून: मुख्यमंत्री पुष्कर सिंह धामी ने विधानसभा अध्यक्ष श्रीमती ऋतु खण्डूडी भूषण की उपस्थिति में […]
उत्तराखंड मौसम: इस दिन से फिर होगी बारिश और बर्फ़बारी, प्रदेश में बढ़ेगी ठंड…
उत्तराखंड मौसम 17 फरवरी 2025: मौसम विज्ञान केंद्र ने मंगलवार से उत्तराखंड के पर्वतीय क्षेत्रों […]
महिला प्रीमियर लीग में रॉयल चैलेंजर्स बेंगलुरु ने लगातार दूसरा मुकाबला जीता…
महिला प्रीमियर लीग में रॉयल चैलेंजर्स बेंगलुरु ने लगातार दूसरा मुकाबला जीत लिया है। दिल्ली […]
अग्निशमन धारचुला और एसएसबी की संयुक्त टीम ने पाया टैंकर पर लगी आग पर काबू…
10 हजार लीटर पैट्रोल से भरा था टैंकर पिथौरागढ़: सोमवार को थाना बलुवाकोट को सूचना […]
रिस्पना और बिंदाल कॉरिडोर का कार्य जल्द शुरू किया जाए-सीएम
देहरादून: मुख्यमंत्री पुष्कर सिंह धामी ने सोमवार को सचिवालय में देहरादून एलिवेटेड कॉरिडोर की बैठक […]
